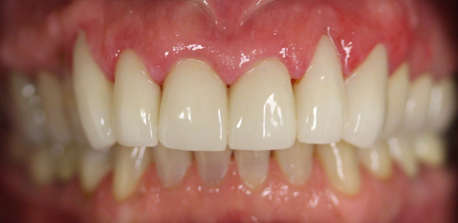
At Big Creek Family Dentistry, we offer a comprehensive line of dental treatments in Roswell, Georgia. But our dentist, Dr. Robert Murfree, and our team particularly enjoy improving smiles through dental implants and cosmetic dentistry. In our smile gallery, you can see just a few of the results we have helped our patients achieve. If you like what you see, contact our office at 770-992-3711 for your appointment.








.jpg)




























